!999999999

ZUYDERLAND ZIEKENHUIS

!999999999
infomedics

Padrao

De Weledelgeleerde Tandarts A.F. Miranda Padrão

Op 6 Oktober 2021
Een vriend belde naar mondzorg Houben voor een inschrijving . Daarbij werd direct gezegd dat ik een ontsteking had aan mijn tandvlees , De balie medewerkster aan de telefoon maakte er direct werk van , en had een afspraak kunnen regelen voor Donderdag ??? om vier uur de dag erop

7 Oktober 2021 De dag erop Smorgens rond negen uur Ik belde weer naar mondzorg Houben of ik niet eerder kon komen want het deed wel pijn . Ze is het nog gaan navragen bij de tandarts . Dit kon dus niet ,wel om 4 uur . Om tien voor vier meld ik me bij de balie de medewerkster zei dat ik plaats mocht nemen in de wachtruimte , de tandarts zou zo komen .Volgens mij was u het Mv. Keulen die twee keer toe er na toe is gegaan . De weledelgeleerde tandarts Padrao zou zo komen

Tien minuten . Twintig minuten voorbij er gaan wat mensen in en uit . tandarts bleef . Na ongeveer dertig minuten komt de Bali Assistente Juul Tummers Houben en breng me naar een praktijk ruimte links van de balie .

Ik praat wat met haar en ze klopt met iets een voor een op de twee tanden element 36 en 37 en vraagt of ik iets voel . nee dus Ik zeg haar ook dat bij de vorige tandarts een foto is gemaakt en dat een wortel kanaal behandeling 600 euro kost . ze gaat weg en komt plusminus tien minuten later terug met de foto(inmiddels veertig minuten later nog geen tandarts) We bekijken de foto praten wat en ze delegeert me weer terug naar de wachtruimte.
Er is bijna een uur voorbij komt hij aanlopen met een begroting gebaseerd op de foto van de vorige tandarts gemaakt op 24-02-2021 (hieronder).En een recept voor antibiotica hij zei hij kon toch niets zien met dat abces

Zo snel als hij verscheen was hij weer weg.nog voor ik had getekend aan de bali
Hij had toen ook een kleine foto kunnen maken en die kunnen beoordelen waar het abces vandaan kwam. Het was toen tien voor vijf

Dit duurde maar een paar seconde. Hij gaf me de begroting zei toen dat hij nu toch niets kon zien .
Dit had hij ook in de morgen tussendoor kunnen doen Daarvoor heeft hij mij 50 minuten laten wachten en zelf niet eens gekeken .dat heeft hij de bali assistente laten doen
.
beaten



De eerste behandeling bij de Weledelgeleerde Tandarts Padrao !

Op 21 Oktober-2021
Ben ik naar de weledelgeleerde tandarts Padrao te laten behandelen . Ik neem plaats in de stoel en de eerste vraag was : tandarts Padrao vraagt me of ik al eens een wortelkanaalbehandeling heb gehad . De Bali assistente Juul zegt toen tegen hem dat staat toch op de foto . Hij had de foto schijnbaar niet eens bekeken Ik vraag hem of hij niet een behandeling volgend jaar kon doen vanwege de kosten. Nee dat kon niet .

Tandarts Padrao liet de bali assistente Juul de verdoving zetten . Ze zegt nog dat ze dat van tandarts?????? niet mocht doen . Erna nog een verdoving door de weledelgeleerde Tandarts Padrao zelf en hij zegt daarbij doodleuk dat de verdoving niet aan de buitenkant moet worden gezet maar aan binnenkant.
Daarna begon hij meteen met de behandeling zonder een foto te hebben gemaakt . Meneer vertelde nog dat hij niets kon garanderen over het slagen van de behandeling

Hij maakte een sneetje in mijn kaak . hij keek zoals hij zei onder tandvlees . Daarna ging hij vrijwel direct met de boor /frees aan de slag . .
De rubberdam onder het frezen zeg hij en nu krijg je een vieze smaak in de mond .daarna plaatste hij pas de rubberdam bij element 37 . Op het moment van plaatsen vroeg hij of hij goed zat tegelijk voelde ik de vieze smaak

Ik voelde dat hij ook twee of drie boven tanden raakte . Dit is denk ik wel te zien daar het voor die doeleinde meer geen boor was , maar een frees was met een rond bolletje . De grote van de frees is ook goed te zien aan de tand erboven in mijn mond die hij beschadigd heeft .Ondnaks de verdoving voel je de triling van de boor Deze vulling is inmiddels er uit gevallen . Wat later werd de eerste foto gemaakt

Na enkele minuten werd er pas een tweede foto gemaakt omdat zoals de Bali assistente zei er stond op de eerste foto maar een tand.op

De weledelgeleerde tandarts Padrao was gebaren aant maken ik hoorde assistente herhaaldelijk mmm zeggen ter bevestiging en de instrumenten had hij op mijn borstkast op de trui neergelegd
Nog iets op een gegeven moment zegt hij inmadgen tegen de Bali assitente , en zei zegt op neer kijken . Ik hoorde een muziekje of je het gelooft of niet let op Tin Turner met simply the best. Hij was zelfs vrolijk een mee aan het neuriën zingen . Nog sterker toeval of niet daarna het het nummer al for the mony .

Ook mompelde hij een paar keer verstandskies .En bali assitete Juul was wel erg hard aan mijn mijn lip aan het trekken .Ik had zelf een scheurtje in mijn lip
Op een gegeven moment zegt hij je gaat nu een vieze smaak in je mond krijgen . Toen klaar was met die tand .ging hij een rubberdam aanbrengen .
Op het moment dat hij zegt zit hij goed , zat hij ook goed dus ik kon geen nee zeggen maar intussen was er wel weer vieze troep in mijn gekomen via de rubberdam

Toen hij klaar was zei hij dat het op de eerste foto nog kon ""kaakoverzicht foto"", Maar zoals hij zei op de foto die genomen is 21-10-2021 niet , dat snap ik ook wel de kies was net door hem weggefreest
Ik was in schokt . Wat moet je er op dat moment van zeggen .

De tweede behandeling bij de Weledelgeleerlde Tandarts Padrao !

Op 10-11-2021 heb ik vier maal telefonisch contact gehad met de bali in Sittard om een afspraakje maken voor de vervolg behandeling . Dit kon , maar wel bij dezelfde behandelaar dus de weledelgeleerde tandarts A.M.Padrao dan . .Maar dan moest ik wel naar Maasticht ik zei toen ik heb geen vervoer en dat ik dat onnodig omslachtig vond de dag erna 11-11-2021 om 14.48 kreeg ik een tefoontje dat het ook op 12-11-2021 om 02.00uur in Geleen kon .

Bij de tweede behandeling op 12-11-2021 in Geleen deze keer zonder onnodig wachten .Bij binnenkomst  zeg ik als eerste dat er geen tand mocht worden getrokken dat ik daar voor een verwijskaart wou hebben naar de kaakchirurg ook al vanwege de kosten.(vertrouwen)

De weledelgeleerde tandarts A M Padrao zei toen . Wij bepalen wel of we je doorsturen naar de kaak chirurg : Ja en dat is ook zo.
Hij zei toen dat dat besliste en hij het wel kosteloos wou doen Ik zei toen dat ik zonder verwijzing anders de behandeling zou voortzetten bij een andere tandarts .

Wat mij direct opviel was dat de assistente helemaal niet aan mijn lip was aan het trekken met haar instrument dit was ook niet nodig tenzij hij bij de verstandskies moet komen element 38 wat ook is gebeurd bij de eerste behandeling)

Het geluid van de elektronische lengte bepaler begon steeds sneller te piepen .
Toen kwamen er nog twee mensen binnen Ik denk zelf ze hadden niets te doen en nieuwsgierig waren geworden door het piep geluid . ik weet het niet . Dat moet je hun vragen . Ik was daardoor wel heel gerust gesteld.

Lang verhaal maar de klacht bij deze is ik kom bij de kaakchirurg ik was de verwijzing vergeten de kaakchirurg heeft toen wel een foto gemaakt maar mijn niet geholpen hij schreef op 12-02-2021 naar de weledelgeleerde tandarts A Miranda Padrao eerst consultatie bij eigen tandarts , Wat

is geweest . De weledelgeleerde tandarts A Miranda Padrao had me wel; een verwijzing gegeven maar deze niet doorgegeven naar de kaakchirurg

 

De Kaakchirurgen

 

 

Ik zat te kijken naar de foto en zag niets geen wortel kanaal ontsteking .Zoals de kaakchirurg aan de weledelgeleerde tandarts schreef in zijn mail


Toen zei iemand in het langs gaan een kleine onsteking wees op dit stukje

Kijk ook goed op andere fotos een kleine ontsteking . (zie pagina fotos)


Ik weet nu dat het maar een tandvlees onsteking was . Deze had de wortel niet aangetast .

 

 

 

 

 
Het gesprek met de weledelgeleerde tandarts Andrey Padrao
en Praktijk manager JosineKeulen
oop 31 maart 2022
Padrao


De namen van anderen personen in het paars zijn pseudoniemen omdat deze geen actieve rol hebben deze zal ik wel doorgeven aan mensen die een rol spelen in het onderzoek bij navraag.
Dit gesprek heb ik ook opgenomen . De telefoon heb ik bewust nooit opgenomen zodat ik alles per E-mail opgeschreven als bewijs heb

De weledelgeleerde tandarts Padrao zegt tijdens het gesprek heel veel en eigenlijk niets .Iedere keer als het er om gaat spannen komt de praktijk manager ertussen .Met oa de vraag waarom ik dit doe .Wat mijn bedoeling is

Tijdens ons gesprek over de klacht op 28-03-2021 stonden de foto van Tandarts Bijten Van Praktijk Jansen&Jansen gemaakt op 24-02-2021 in beeld .Toen ik zei dat het volgens mijn twee second opinions het de gewoonte was om detail foto te maken . Daarop zei de weledelgeleerde tandarts t A Padrao dat hij dat ook had gedaan .Waarop ik zei dat hij dat had gedaan nadat de kies weggefreest!!.
Ook bij een second opinion zeg de betreffende tandarts: Hij kon er niets over zeggen er was geen beginsituatie

Twee van de second opinion tandartsen zeiden dat ze eerst zou kijken waar het abces vandaan kwam.
Over het abces zegt de weledelgeleerde tandarts Padrao dat hij in het de wachtkamer gezien . Dan moet dat door de wang en het mondmasker zijn gebeurd . Corona

De geluidsopname van dit gesprek

 
|
De
pagina E-mails is tevens het hele verhaal en hoe verder ging, gebaseerd E-mails en tijdlijn

Voor mensen die iets aan het aan het hele verhaal kunnen toe voegen , dingen weten of er op een of andere manier kunnen helpen

mail naar


Hieronder Knoppen / links van instanties waar praktijk manager Jozine Keulen van mondzorg Sittard - Geleen in het Zuyderland - ziekenhuis zich echt niets van aan trekt
Waarom ook lees zelf maar

Colosseum Dental
Verzekeraar
Melpunt zorg  
Geschillen instantie

Juul Tummers Houben
Juul Tummers Houben

 
Tandarts Andre Padrao
Tandarts Padrao

 

?

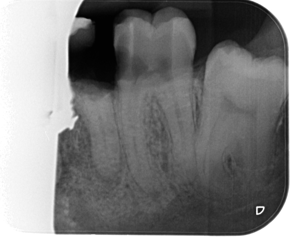
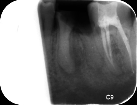
Dit was de foto die de tandarts padrao op 07-10-2021 ter beschiking had

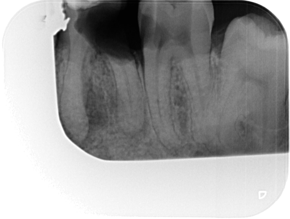
Er is geen nieuwe foto tenminste geen begin foto gemaakt Element 36 is niet meer te behouden Deze foto is pas gemaakt nadat hij element 36 had weg gefreest en 37 was al geopend voor een wortel kanaal behandeling

Er zijn op de fotos ookop element 36 en 37 geen wortepunt onstekingen te zien

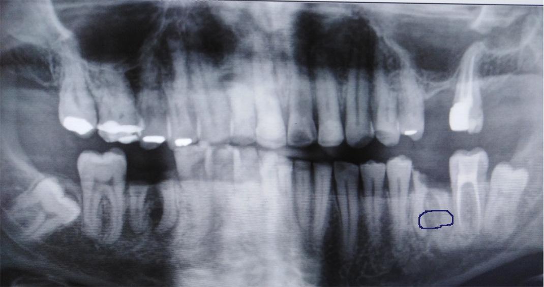
Toen ik zei dat het volgens mijn twee second opinions het de gewoonte was om detail foto te maken . Daarop zei de weledelgeleerde tandarts A Padrao dat hij dat ook had gedaan .Waarop ik zei dat hij dat had gedaan nadat de kies element 36 was weggefreest!!. Ook bij een second opinion zeg de betreffende tandarts:Hij kon er niets over zeggen er was geen beginsituatie . Daar waar het vraagteken staat er is geen beginfoto .

Op 12-07-2022 een mail en op 15-07-2022 ook een brief gekregen . Dat als ik deze website pupliceer er juridische stappen worden genomen en aangifte word bij de politie . Bij deze . Nu hou ik het nog beperkt tot de instanties die er voor zijn . Ik zal dan ook aangfte doen van zware mishandeling . Politie lees deze wabsite goed u kunt dan ook alvast lezen wat er gebeurt is zou er binnen een week geen aangifte zijn van mondzorg Houben zal ik deze website wel bekend maken aan het grote publiek. Ik tolereer op geen enkele wijze dat er een tand is weggefreest een wortelkanaalbehandeling is gedaan aan een kies waar niets mee aan de hand was en ook nog eens dat er op mij word neergekeken .enz enz .Lees deze website maar . De politie is volgens een buurman meerdere malen aan de deur geweest en een keer kwam ik onder de douche en zag ik ze net met de auto de bocht om gaan

21-10-2022 heb ik via de webside van mondzorg Houben en ook voor de zekerheid ook bij colusseum zelf de volgende Email met klachten verstuurd en nog eens op