Second opinion |
De eerste second opinion . Heel collegiaal begrijp ik ook wel ,het is toch een onduidelijke foto |
| |
| Tandart Baeten |
Ik heb de bovenstaande begroting gebruikt voor een second opinion omdat ik op 07-12-2021 niets anders ter beschikking had
De begroting bovenstaand is gemaakt door tandarts Baeten op 24-02-2021 achteraf gezien klopt deze ook niet .Let op
- Op de foto lings boven van voor gezien 90 weet ik niet
- Kruisje rechtsboven hoevde niet verwijdert te worden daar had ik geen last van en staat ook niet op de begroting
- 600 Een wortelkanaal behandeling ??? .
- Naast element 37 waar 90 staat , de weledegeleerde tandarts Andre Padrao een wortelkanaalbehandeling in ziet ,was een vlekje . Dit kan ik nu nog bewijzen want er is niet geboord of niets. De weledelgeleerde tandarts Padrao kreeg de originele foto ter beschikking op 07-10-2021 hij zag hier er een wortel kanaal behandeling in
|
|
|
|
| |
- Beoordelen met een kleine rongen foto
- Het duurt vaak wel tot een jaar tot de ontsteking niet meer zichtbaar is , Alleen als de zenuw nog leeft Links onder heeft een groot gat {Dit lijkt ook zo was ook een vlekje.
- Toen element 36 was weg gefreesd was er alleen een vlekje te zichtbaar op element 37 dat zo was weggepoetst
- Ook tandarts Bijten heeft geen detail foto gemaakt deze zag 1 wortelkanaal behandeling zie de begroting boven op foto
De weledelgeleerde tandarts Padrao zag op dezelfde foto maar dan de originele foto hieronder op element 36 een groot gat tot aan de furca ( kaakbot niveau ) en op element 37 een pericaal apicaal ontsteking .
|
| |
De tweede second opinion ook collegiaal gebaseerd op een duidelijkere foto 0 het knipsel rechts onder
|
|
|
|
|
|
- Zowel de tandarts Berg in de eerste second opinon zoals ook tandarts Henk zegt in de tweede second opinion eerst een detailfoto te maken .
Dit is niet gebeurt de weledelgeleerde tandarts Padrao had het wel gezien op foto 0 de foto hierboven
- Ook schrijft tandartss Henk hier boven . Vooraf gaand aan de eventueleel behandeling te onderzoeken waar het abces vandaan komt
De weledelgeleerde tandarts Padrao zei toen ik hem
erna vroeg hierop in het gesprek op 31-03-2021 : Waarom hij had het abces op de wachtkamer gezien .
Het absces was niet zo groot maar mischien toch te zien , maar door een mond masker kijken ?.
|
| |
Omdat voor mij niet helemaal duidelijkheid was heb ik het hetzelfde gevraagd met nog vier bijgevoegde foto’s
|
|
|
| |
|
| |
|
|
Er is helemaal geen consult geweest dit kan tandarts Henk hierboven ook niet weten . Ik heb er over gelezen en op 19-01-2022 per e e-mail gevraag aan de weledelgeleerde tandarts Padrao naar de Deti score geen antwoord van Juul. Op 10-02-2022 Wederom gevraagd aan de weledelgeleerde tandarts Padrao wat de Deti score was van het wortel kanaal consult weer geen antwoord van Juul Op 07-04-2022 de derde keer gevraagd naar de Deti score nu bij de praktijk manager Josine Keulen Op 13-04-2022 de vierde keer gevraagd naar de Deti score weer geen antwoord van Josine Op 21-04-2022 de vijfde keer de Deti score gevraagd aan Josine . Op 02-05-2022 de zesde keer de Deti score gevraagd aan Josine de praktijk manager Ze hadden dit makkelijk aan de weledelgeleerde tandarts Padrao kunnen vragen . Er is geen uitgebreid wortelkanaal consult geweest , sterker nog er is helemaal geen wortelkanaal consult geweest (zie e-mails)
-
Op de fotos van 12-11-2021 is er volgen tandarts Henk niets bijzonders te zien . Ik zie nu dat er op de fotos van 12-11-2021 geen wortelpunt ontsteking te zien is dat kan . Verder had de tandarts Henk kunnen zien dat er een tijdelijke vulling in zat De wortelkanaalbehandeling niet is afgemaakt
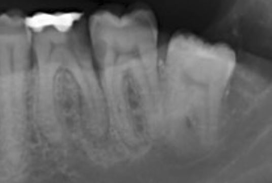
Foto 0 . 24-02-2021 is gemaakt door tandarts Baeten is niet geschikt om te oordelen of er twee wortelkanaal behandelingen nodig zijn
De fotos van 21-10-2021 er is geen begin situatie . Klinische testen zijn er ook niet geweest. Dat er iets met de fotos is geknipt eraan of iets ziet hij ook niet .
Ondanks alles heb ik toch veel aan de second opinions gehad . De begroting op 7-10-2021 is gebaseerd op foto 0 gemaakt op 24-02-2021 door tandarts Baeten . Deze foto is niet geschikt volgens de twee tandartsen boven zou er eerst een detail foto moeten worden gemaakt . volgens de e-mail van Juul op 20-01-2022 heeft de weledelgeleerde tandarts Padrao de begroting gemaakt op 07-10-2021.
Op deze foto ziet hij twee wortel punt /per apicaal ontstekingen . Juul heeft tijdens ons gesprek op 07-10-2021 met de achterkant van een instrument op element 36 & 37 getikt . Het abces deed ontzettend pijn maar er was niets geen pijn aan de kiezen.
Ik wou nog vermelden dat de begroting op naam staat van Juul Tummers Houben Als laatste twee ontstekingen niet te zien op de fotos en geen pijn aan de kiezen en dat naar aanlijding van een foto die daar niet geschikt voort is .
|
 |
? |
 |
 |
 |
 |
| foto (24-02-2021) Hierop is de wortelkanaal behandeling van de weledelgeleerde tandarts Andre Padrao gebaseerd |
Hier had de weledelgeleerde tandarts Padrao volgens de twee secon opinons een detail foto moeten maken |
foto 1 (21-10-2021) foto2 (21-10-2021) foto3 (12-11-2021) foto 4 (12-11-2021)
|
|
| |
| |
| |
Wat mij opvalt aan de eerste en ook de tweede opinion
dat er aan mij niet werd gevraagd wat ik aan pijn of iets voelde |
| |
| |
| |
| |